prijava
  • Srbija
    • Politika
    • Društvo
    • Hronika
  • Ekonomija
    • Srbija
    • Region
    • Svet
    • Turizam
    • Ekologija
    • Kompanije
  • Sport
    • Fudbal
    • Košarka
    • Tenis
    • Odbojka
    • Vaterpolo
    • Ostali sportovi
  • Kultura
    • Reflektor
    • Kulturno
    • Film
    • Pozorište
    • Muzika
    • Knjige
    • Art
  • Svet
    • Politika
    • Društvo
    • Hronika
  • Bliski istok
  • EU
  • Region
    • Politika
    • Društvo
    • Hronika
  • Beograd
  • Otvoreni Balkan
  • Tesla čovek budućnosti
  • English
    • Politics
    • Society
    • Economy
    • Sports
  • Foto
  • Video
  • Fono
  • live tv
prijava
  • TV Program
  • Karijera
kontakt
live now
Albanac na ambulanti u Dobrotinu kod Lipljana ispisao grafite koji veličaju "UČK" Bitkoin pao za dva odsto na 57.100 evra, itirijum za 1,7 odsto na 1.680 evra Promet na Beogradskoj berzi 7,61 milion dinara, indeksi u padu Devetogodišnji Poljak oborio svetski rekord u rešavanju Rubikove kocke Ana Brnabić sa Žiofreom o evropskim integracijama Srbije Predsednik Vučić i Milorad Dodik o važnim pitanjima za Srbiju i Republiku Srpsku i sastancima sa svetskim zvaničnicima Vitaker: Očekujem nova obećanja saveznika za snabdevanje Ukrajine oružjem Bratina: Srbija čini sve napore da članovi Saveta REM-a budu izabrani što pre U Novom Sadu izboden taksita, sumnja se da ga je povredila osoba koju je dovezao iz Beograda Adrijana Mesarović: Podsticaji proizvođačima vina namenjeni otvaranju novih radnih mesta APR: Izveštaj Manival predstavlja i veliki uspeh Agencije za privredne registre Aleksandra Joksimović: Dolazak Rubija na Minhensku konferenciju je spuštanje lopte SAD Džej Di Vens: Pregovori o Grenlandu će se održati u narednih nekoliko meseci Ajatolah Ali Hamnei odobrio oproštaj i smanjio kazne za više od 2.000 osuđenika UNOPS: Samouprave iz Braničevskog okruga počinju izradu teritorijalne strategije Austrijanke Arijana Redler i Katarina Huber osvojile zlato u kombinaciji na Zimskim olimpijskim igrama Data centri širom sveta troše struju koliko i cela Velika Britanija Italija: Pokrenute tri istrage zbog neuspele transplantacije srca dvogodišnjaku Sud u Hagu oslobodio Hadžija Šalju, Smakaja i Fazljijua pustio na slobodu uz kauciju Turistička organizacija Beograda: Održana prezentacija Beograda za turske turoperatore

lek

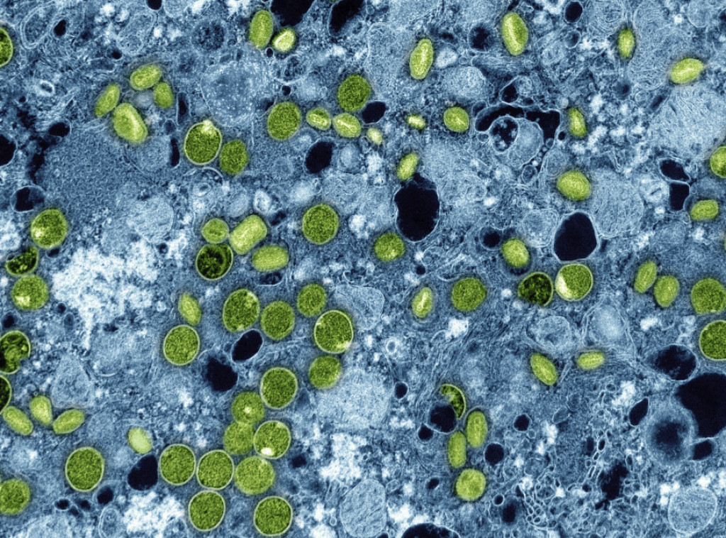
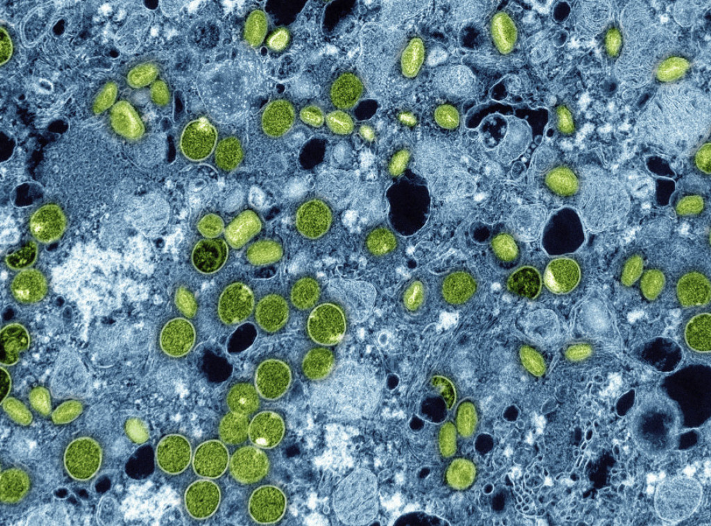
Društvo

Rusija razvija prvi lek na bazi ćelija za lečenje melanoma

10. februar 09:57

Rusija razvija prvi lek na bazi ćelija za lečenje melanoma
Tenis

Serena Vilijams: Lek za mršavljenje omogućio mi je bolje zdravlje nego tokom karijere

28. januar 23:48

Serena Vilijams: Lek za mršavljenje omogućio mi je bolje zdravlje nego tokom karijere
Društvo

U Rusiji razvijen lek za lečenje hepatitisa B, mogao bi se koristiti za lečenje raka

22. januar 09:38

U Rusiji razvijen lek za lečenje hepatitisa B, mogao bi se koristiti za lečenje raka

Najnovije vesti

Politika

Albanac na ambulanti u Dobrotinu kod Lipljana ispisao grafite koji veličaju "UČK"

10. februar 15:58

Albanac na ambulanti u Dobrotinu kod Lipljana ispisao grafite koji veličaju "UČK"
Svet

Bitkoin pao za dva odsto na 57.100 evra, itirijum za 1,7 odsto na 1.680 evra

10. februar 15:56

Bitkoin pao za dva odsto na 57.100 evra, itirijum za 1,7 odsto na 1.680 evra
Srbija

Promet na Beogradskoj berzi 7,61 milion dinara, indeksi u padu

10. februar 15:55

Promet na Beogradskoj berzi 7,61 milion dinara, indeksi u padu
Politika

Predsednik Vučić i Milorad Dodik o važnim pitanjima za Srbiju i Republiku Srpsku i sastancima sa svetskim zvaničnicima

10. februar 15:54

Predsednik Vučić i Milorad Dodik o važnim pitanjima za Srbiju i Republiku Srpsku i sastancima sa svetskim zvaničnicima
Zanimljivosti

Devetogodišnji Poljak oborio svetski rekord u rešavanju Rubikove kocke

10. februar 15:54

Devetogodišnji Poljak oborio svetski rekord u rešavanju Rubikove kocke
Sve vesti
Politika

Tramp: Očekujem da će i drugi biti gonjeni posle podizanja optužnice protiv Komija

26. septembar 20:26

Tramp: Očekujem da će i drugi biti gonjeni posle podizanja optužnice protiv Komija
Društvo

Doktori otkrili da je lek klopidogrel bolji od aspirina u sprečavanju srčanog udara

31. avgust 19:52

Doktori otkrili da je lek klopidogrel bolji od aspirina u sprečavanju srčanog udara
Nauka

Studija: Kornjače bi mogle da imaju ključ za pronalaženje leka protiv raka

9. jul 17:32

Studija: Kornjače bi mogle da imaju ključ za pronalaženje leka protiv raka
Društvo

Lek koji usporava rak dojke od sada dostupan u Velikoj Britaniji

11. april 08:56

Lek koji usporava rak dojke od sada dostupan u Velikoj Britaniji
Društvo

U Lombardiji prvi slučaj asistiranog samoubistva

14. februar 13:37

U Lombardiji prvi slučaj asistiranog samoubistva
Društvo

Ruski lek protiv majmunskih boginja prošao klinička ispitivanja

18. decembar 07:36

Ruski lek protiv majmunskih boginja prošao klinička ispitivanja
Društvo

Dr Aleksandra Vukov: Novi lek za astmu mogao bi da promeni živote miliona obolelih u svetu

4. decembar 12:23

Dr Aleksandra Vukov: Novi lek za astmu mogao bi da promeni živote miliona obolelih u svetu
Društvo

Radojević Škodrić: Umesto leka Progesteron Depo na listu stavljen zamenski lek

5. avgust 11:15

Radojević Škodrić: Umesto leka Progesteron Depo na listu stavljen zamenski lek
  • 1
  • 2

najčitanije

Srbija

Miškeljin: Vlasnički udeo ADNOC-a u NIS-u je veoma značajan za Srbiju

9. februar 13:07

Miškeljin: Vlasnički udeo ADNOC-a u NIS-u je veoma značajan za Srbiju
Srbija

Harčenko: Situacija na KiM složena, Kurti pokušava da potisne Srbe sa tih prostora

9. februar 23:49

Harčenko: Situacija na KiM složena, Kurti pokušava da potisne Srbe sa tih prostora
Beograd

GSP raspisao tender za nabavku 85 tramvaja u vrednosti od 22,06 milijardi dinara

8. februar 17:41

GSP raspisao tender za nabavku 85 tramvaja u vrednosti od 22,06 milijardi dinara
Politika

Vučić: Orden je pečat duhovnog zajedništva, pomagaćemo Srbima gde god žive

9. februar 11:52

Vučić: Orden je pečat duhovnog zajedništva, pomagaćemo Srbima gde god žive
Srbija

Prijava za upis bespravnih objekata do 24. oktobra uz opravdanje za kašnjenje

9. februar 10:11

Prijava za upis bespravnih objekata do 24. oktobra uz opravdanje za kašnjenje
Politika

Siniša Karan proglasio pobedu na ponovljenim predsdeničkim izborima u Republici Srpskoj

8. februar 21:40

Siniša Karan proglasio pobedu na ponovljenim predsdeničkim izborima u Republici Srpskoj
Društvo

VJT: Očekujemo da Visoki savet tužilaštva sprovede izbor i upućivanje u JTOK po objektivnim kriterijumima

8. februar 19:28

VJT: Očekujemo da Visoki savet tužilaštva sprovede izbor i upućivanje u JTOK po objektivnim kriterijumima
Politika

Specijalno tužilaštvo u Hagu traži po 45 godina zatvora za četvoricu bivših vođa tzv. OVK

9. februar 17:33

Specijalno tužilaštvo u Hagu traži po 45 godina zatvora za četvoricu bivših vođa tzv. OVK
Srbija

Vučić uručio rešenja za podsticaj razvoja u oblasti proizvodnje alkoholnih pića

10. februar 13:04

Vučić uručio rešenja za podsticaj razvoja u oblasti proizvodnje alkoholnih pića
Politika

Centralna izborna komisija Bosne i Hercegovine: Danas odluka o utvrđivanju izbornog rezultata na izborima u Srpskoj

9. februar 13:02

Centralna izborna komisija Bosne i Hercegovine: Danas odluka o utvrđivanju izbornog rezultata na izborima u Srpskoj

Srbija

Politika

Albanac na ambulanti u Dobrotinu kod Lipljana ispisao grafite koji veličaju "UČK"

10. februar 15:58

Albanac na ambulanti u Dobrotinu kod Lipljana ispisao grafite koji veličaju "UČK"
Politika

Predsednik Vučić i Milorad Dodik o važnim pitanjima za Srbiju i Republiku Srpsku i sastancima sa svetskim zvaničnicima

10. februar 15:54

Predsednik Vučić i Milorad Dodik o važnim pitanjima za Srbiju i Republiku Srpsku i sastancima sa svetskim zvaničnicima
Politika

Ana Brnabić sa Žiofreom o evropskim integracijama Srbije

10. februar 15:54

Ana Brnabić sa Žiofreom o evropskim integracijama Srbije
Politika

Bratina: Srbija čini sve napore da članovi Saveta REM-a budu izabrani što pre

10. februar 15:52

Bratina: Srbija čini sve napore da članovi Saveta REM-a budu izabrani što pre

Ekonomija

Svet

Bitkoin pao za dva odsto na 57.100 evra, itirijum za 1,7 odsto na 1.680 evra

10. februar 15:56

Bitkoin pao za dva odsto na 57.100 evra, itirijum za 1,7 odsto na 1.680 evra
Srbija

Promet na Beogradskoj berzi 7,61 milion dinara, indeksi u padu

10. februar 15:55

Promet na Beogradskoj berzi 7,61 milion dinara, indeksi u padu
Srbija

Adrijana Mesarović: Podsticaji proizvođačima vina namenjeni otvaranju novih radnih mesta

10. februar 15:43

Adrijana Mesarović: Podsticaji proizvođačima vina namenjeni otvaranju novih radnih mesta
Srbija

APR: Izveštaj Manival predstavlja i veliki uspeh Agencije za privredne registre

10. februar 15:39

APR: Izveštaj Manival predstavlja i veliki uspeh Agencije za privredne registre

Sport

Ostali sportovi

Austrijanke Arijana Redler i Katarina Huber osvojile zlato u kombinaciji na Zimskim olimpijskim igrama

10. februar 15:20

Austrijanke Arijana Redler i Katarina Huber osvojile zlato u kombinaciji na Zimskim olimpijskim igrama
Ostali sportovi

Slobdan Branković pred Beogradski miting: Očekuje nas sjajan atletski događaj, poslaćemo lepu sliku

10. februar 14:32

Slobdan Branković pred Beogradski miting: Očekuje nas sjajan atletski događaj, poslaćemo lepu sliku
Ostali sportovi

Norvežanin Johanes Hesflot Klebo osvojio treće uzastopno olimpijsko zlato u sprintu

10. februar 14:20

Norvežanin Johanes Hesflot Klebo osvojio treće uzastopno olimpijsko zlato u sprintu
Ostali sportovi

Norvežanin Birk Rud osvojio zlatnu medalju u slobodnom skljanju na ZOI

10. februar 14:05

Norvežanin Birk Rud osvojio zlatnu medalju u slobodnom skljanju na ZOI

Kultura

Art

Srpski PEN centar slavi 100 godina

10. februar 14:45

Srpski PEN centar slavi 100 godina
Art

Besplatan ulaz na programe Muzeja savremene umetnosti u Beogradu povodom Sretenja

10. februar 14:35

Besplatan ulaz na programe Muzeja savremene umetnosti u Beogradu povodom Sretenja
Art

Razgovor u SANU sa muzičarem Dadom Topićem 18. februara

10. februar 13:38

Razgovor u SANU sa muzičarem Dadom Topićem 18. februara
Film

Film "Glas Hindi Ražab" 25. februara u programu FEST intro u Sava centru

10. februar 11:45

Film "Glas Hindi Ražab" 25. februara u programu FEST intro u Sava centru
    • Kategorije

    • Srbija
    • Ekonomija
    • Sport
    • Kultura
    • Svet
    • Bliski istok
    • EU
    • Region
    • Beograd
    • Otvoreni Balkan
    • Tesla čovek budućnosti
    • Nauka
    • Zanimljivosti
    • English
    • tanjug

    • Politika privatnosti
    • Karijera
    • Marketing
    • multimedia

    • video
    • foto
    • fono
    • usluge

    • pro korisnici
    • rss feed
    • pratite nas

    • RSS
    • facebook
    • twitter
    • instagram
    • android app
    • iphone app
    • youtube channel

Sva prava zadržana - Tanjug © 2015 - 2026